Lost that perfect smile?
Lets get it back.
- Preventative
- Restorative
- Cosmetic/Esthetic/Function
- Implants
- Teeth Whitening
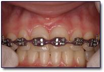
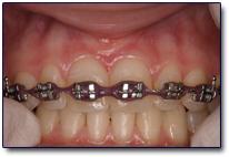
- Orthodontics
- Periodontics
- Oral Surgery
- State of the Art Technology
- Pediatrics
- Sedation
Dental check ups
A dental exam is critical to your ongoing oral health, and your overall health. The dentist is looking for many things at these exams. For example:
- Damaged, missing or decayed teeth
- Early signs of cavities
- Conditions of your gums
- To see how previous work is holding up
- Early signs of mouth or throat cancer
- Position of your teeth
To set up an appointment, please see our contact page. Our scheduling coordinator will contact you to set up a convenient date and time for your appointment.
Cleanings
The dental hygienist uses a special dental instrument called a "scalar" to get rid of plaque and tartar around the gum line, as well as in between the teeth. The more tartar there is in your mouth, the more time is needed to scrape a particular spot.
We brush and floss to stop plaque from building up and hardening into tartar. Once you have tartar, it can only be removed with a special instrument at your dentist's office.

Fluoride
Too much demineralization without enough remineralization to repair the enamel layer leads to tooth decay. Fluoride helps prevent tooth decay by making the tooth more resistant to acid attacks from plaque bacteria and sugars in the mouth. It also reverses early decay.
Sealants
Dental sealants are plastic coatings that are usually placed on the chewing (occlusal) surface of the permanent back teeth - the molars and premolars - to help protect them from decay.
Night guard
If you frequently wake up with a sore jaw, a dull headache or tooth pain, you may be suffering from a condition called bruxism. Bruxism, or teeth grinding/clenching is a very common condition that affects both adults and children. A night guard is one of the ways to alleviate the effects of bruxism, and can be custom made to fit you.
Sports guard
Mouthguards/sportsguard help to protect your teeth and gums from injury while playing sports. When a dental team makes a guard specifically for you they are custom made for a superior fit and are of high quality.
Waterpik
You may prefer to use a Waterpik instead of floss if you:
- wear braces
- have non-removable bridgework
- have crowns
- have dental implants
The Waterpik may also be easier to use than standard floss for people with arthritis, or for anyone who finds string floss difficult to maneuver and work with.
Oral Hygiene Instruction
Our trained dental professionals will offer advice to ensure you understand the importance of a daily oral hygiene regimen that will effectively remove the dental plaque that causes tooth decay and gum disease. Good oral hygiene not only helps prevent cavities, but is necessary to battle bad breath.
Composite (white) fillings
Failing Amalgam fillings
Amalgam expands and contracts with temperature changes, this expansion causes the tooth to “flex” and fracture. Also, since amalgam fillings are packed into the cavity of the tooth rather than bonded to the tooth, as with composite fillings, there is more likelihood of a space opening up between the tooth and the filling.
Amalgam fillings are not cosmetically pleasing and do not match surrounding teeth. There is also a debate about the danger of mercury being present in amalgam fillings. Given all of the shortcomings of amalgam fillings, Northend Dental uses only composite fillings.
Root canals
A root canal procedure is performed when the nerve of the tooth becomes infected or the pulp becomes damaged. During a root canal procedure, the nerve and pulp are removed, and the inside of the tooth is cleaned and sealed.
Crowns/veneers
A dental crown is a tooth-shaped “cap” that is placed over a tooth to restore its shape and size, strength, and improve its appearance. When a crown is cemented into place it fully encases the entire visible portion of a tooth that lies at and above the gum line.
A dental crown may be needed to protect a weak tooth from breaking, to restore an already broken tooth, support a tooth with a large filling, to cover a misshaped or severely discolored tooth, or to make a cosmetic modification.

Bridges
A dental bridge can be used to replace one or more missing teeth by adjoining an artificial tooth permanently to adjacent teeth.

A dental implant can be used to replace a single tooth, several teeth, or all of the teeth to restore function and esthetics.
A dental implant is an artificial root made of titanium metal. It is inserted into the jawbone to replace the root of the natural tooth. An artificial replacement tooth is attached to the implant. The implant acts as an anchor to hold the replacement tooth in place.
- Professional Take-Home Teeth Whitening Kits
This is a commonly used technique because it is easy to perform, less expensive, and allows you to “touch up” when needed. Impressions are taken of your teeth and custom trays are made for you to apply bleach into. - Professional In-Office Teeth Whitening
In-office whitening takes place under carefully monitored conditions which allows for safe and controlled application of bleach which provides results that are visible immediately.
Invisalign aligners are the clear alternative to metal braces for adults and teens. These clear aligners are the virtually invisible way to improve your smile.

Full Gingival Graft
A gingival graft, is a surgical procedure to reverse gum recession. Gum recession exposes the roots of teeth, which can lead to sensitivity and put teeth at a higher risk of damage or disease due to the loosening of their attachment within the gums and bones of the jaw. Tissue is taken from the roof of your mouth and then stitched over the area of exposed root.
Pinhole Graft
Pinhole grafting allows for re-positioning of the gum tissue to cover root exposure with insignificant discomfort, no sutures, and no delayed healing time. Small holes are placed adjacent to the site(s) of recession, collagen is placed in these incisions and the tissue is moved down (or up) to cover the roots.
Frenectomy
A frenectomy is the removal of a frenum in the mouth. A frenum is a muscular attachment between two tissues. There are two frena (the plural of frenum) in the mouth that can sometimes obstruct normal function and are candidates for frenectomies. These frena are called the lingual frenum, which connects the tongue to the floor of the mouth, and the maxillary labial frenum, which connects the inside of your upper lip to your gums just above your upper two front teeth.


Crown lengthening
During the dental crown lengthening procedure, excess gum and bone tissue are reshaped to expose more of the natural tooth. This can be done to one tooth, to even your gum line, or to several teeth to expose a natural, broad smile.
Crown lengthening can be done to make a restorative or cosmetic dental procedure possible. It can reduce a “gummy smile”. Perhaps your tooth is decayed, broken below the gum line, or has insufficient tooth structure for a restoration, such as a crown or bridge. Crown lengthening adjusts the gum and bone level to expose more of the tooth so it can be restored.
Extractions
If a tooth has been broken or damaged by decay, your dentist will try to fix it with a filling, crown or other dental treatment. But when there's too much damage for the tooth to be repaired, the tooth may need to be extracted — or removed — from its socket in the bone.
Bone grafts: Ridge preservation
When a tooth is extracted from its place within the alveolar bone tissue that houses it, the tissue undergoes what is known as resorption, or a “breakdown” at the cellular level that takes its component materials and disperses them elsewhere throughout the body. In layman's terms, this bony material is essentially “taken” back “into” the body for other use.
This resorption of bone tissue causes a number of complications for future implants, prosthetics, and general aesthetics, because in resorbing the bone height recedes so much it can change facial features and prevent effective restorative dentistry. As a result, many dentists prefer to proactively stunt this resorption by using a bone graft. Bone grafts can be used immediately after an extraction or months or years after the loss of a tooth. This procedure is also commonly referred to as “socket preservation.”

Laser
Dental lasers offer minimal or no intra-operative and post-operative discomfort. W perform procedures using our soft tissue laser that minimizes bleeding because the high-energy light beam aids in the clotting (coagulation) of exposed blood vessels, thus inhibiting blood loss and reducing the requirement for sutures.
Benefits also include; minimal bleeding, damage to surrounding tissue is minimized, wounds heal faster and tissues can be regenerated.

Itero
Even under the best of conditions, traditional impressions were still uncomfortable, occasionally unreliable and unpleasant tasting. That’s why we’re proud to offer goop-free, full digital impressions with the revolutionary iTero® Element™ Scanner.
Not only is a digital impression more comfortable, it’s also much more accurate. The scanner takes an incredibly detailed impression of your teeth and gums. Once the scan is complete, your dentist will then have a 3D model of your mouth that can be used to create detailed crowns, bridges, implants, and Invisalign® clear aligners and retainers.

Intraoral Camera
In the past patients had to trust with blind faith that the dentist was properly diagnosing their treatment needs. Now, we can take and share photos of any existing conditions, and patients can actually see images of their teeth magnified and blown up on the computer screen. This gives us a tremendous advantage when educating patients on their dental diagnosis!

Our dental therapist provides preventative and restorative dental care for children and adolescents. She does an amazing job at educating and motivating our patients to make oral health a priority.
Nitrous oxide, or “laughing gas,” is used as a mild sedative. It is delivered through a nose hood and is administered throughout the entire procedure. Nitrous oxide elevates the general mood and can evoke a general sense of well-being. Most importantly, it relieves anxiety and reduces pain during the procedure. There are few side effects associated with nitrous oxide, and it has been safely used in dentistry for many years.
Contact Us Today for Your Appointment
Frequently Asked Questions
Will you direct bill my insurance company?
We are pleased to be able to accept payment directly from your primary insurance company. However, Northend Dental is not connected to your insurance company so it is ultimately your responsibility to know and understand the parameters of your plan.
Do you accept new patients?
New patients are accepted and valued at Northend Dental! To set up an appointment, please see our contact page. Our scheduling coordinator will contact you to set up a convenient date and time for your appointment.
When should I bring my child for their first visit?
The Canadian Dental Association recommends the assessment of infants, by a dentist, within 6 months of the eruption of the first tooth or by one year of age. The goal is to have your child visit the dentist before there is a problem with his or her teeth.
I am afraid of dentists. Do you have something to help with my anxiety?
The key to coping with dental anxiety is to discuss your fears with the dentist. Once we understand what your fears are we will better be able to work with you to determine the best ways to make you less anxious and more comfortable.
Sedation is an effective way to alleviate your stress and anxiety. We will work with you to decide what form of conscious sedation would work best for you.
Nitrous oxide (aka laughing gas) is a safe and easy method to use as the onset of action is very rapid, as is the recovery.
Do you offer teeth whitening?
We offer two whitening options:
-Professional Take-Home Teeth Whitening Kits
This is a commonly used technique because it is easy to perform, less expensive, and allows you to “touch up” when needed. Impressions are taken of your teeth and custom trays are
made for you to apply bleach into.
-Professional In-Office Teeth Whitening
In-office whitening takes place under carefully monitored conditions which allows for safe and controlled application of bleach which provides results that are visible immediately.
Do I need x-rays at each visit?
The answer depends on your medical and dental history and the current condition of your mouth. Some people may need x-rays as often as every six months, others should have them once a year.
X-rays allow us to:
1) Find cavities
2) Look at the tooth roots
3) Check the health of the bony area around the tooth
4) Help diagnose periodontal disease
5) See the status of developing teeth in children